首页
为什么拍口腔全景拍出来是白色的
返回

为什么拍口腔全景拍出来是白色的

2023-11-02 综合百科 By:佚名
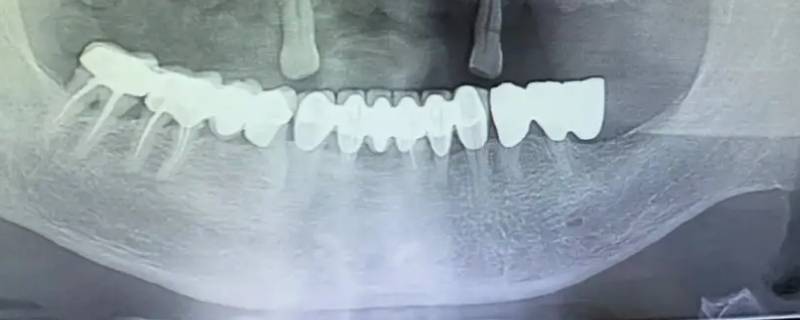
最佳答案在全景片显影中,骨骼、牙齿、补牙材料、牙冠这种组织属于高密度组织,在影像上呈现白色;像牙龈和牙髓这一类组织属于低密度组织,低厚度组织,会呈黑色或灰色。蛀牙在全景片显影上会出现黑色阴影的缺损,如果是邻面龋以及龋坏程度,通常需要到医院,医生用探针、口镜等进行确定。

在全景片显影中,骨骼、牙齿、补牙材料、牙冠这种组织属于高密度组织,在影像上呈现白色;像牙龈和牙髓这一类组织属于低密度组织,低厚度组织,会呈黑色或灰色。蛀牙在全景片显影上会出现黑色阴影的缺损,如果是邻面龋以及龋坏程度,通常需要到医院,医生用探针、口镜等进行确定。

猜你喜欢
昆山中普营销策划有限公司(关于昆山中普营销策划有限公司的简介)

昆山中普营销策划有限公司(关于昆山中普营销策划有限公司的简介)

12-31 0 阅读
方亦菲死了吗(关于方亦菲死了吗的基本详情介绍)

方亦菲死了吗(关于方亦菲死了吗的基本详情介绍)

01-01 0 阅读
档之友补档案需要多长时间?

档之友补档案需要多长时间?

12-11 0 阅读
椰浆是什么椰浆和椰汁有什么区别

椰浆是什么椰浆和椰汁有什么区别

01-01 0 阅读
尼尔机械纪元教程怎么100

尼尔机械纪元教程怎么100

01-06 0 阅读
三国战记乱世枭雄(关于三国战记乱世枭雄的基本详情介绍)

三国战记乱世枭雄(关于三国战记乱世枭雄的基本详情介绍)

01-02 0 阅读
热门推荐
昆山中普营销策划有限公司(关于昆山中普营销策划有限公司的简介)

昆山中普营销策划有限公司(关于昆山中普营销策划有限公司的简介)

12-31 0 阅读
方亦菲死了吗(关于方亦菲死了吗的基本详情介绍)

方亦菲死了吗(关于方亦菲死了吗的基本详情介绍)

01-01 0 阅读
档之友补档案需要多长时间?

档之友补档案需要多长时间?

12-11 0 阅读
椰浆是什么椰浆和椰汁有什么区别

椰浆是什么椰浆和椰汁有什么区别

01-01 0 阅读
尼尔机械纪元教程怎么100

尼尔机械纪元教程怎么100

01-06 0 阅读
三国战记乱世枭雄(关于三国战记乱世枭雄的基本详情介绍)

三国战记乱世枭雄(关于三国战记乱世枭雄的基本详情介绍)

01-02 0 阅读
管家乐(关于管家乐的基本详情介绍)

管家乐(关于管家乐的基本详情介绍)

01-02 0 阅读
李远平(关于李远平的简介)

李远平(关于李远平的简介)

12-30 0 阅读
丝绒拿铁里面的丝绒是什么

丝绒拿铁里面的丝绒是什么

07-22 0 阅读
雪铁龙顺应市场趋势 推出了一系列跨界车

雪铁龙顺应市场趋势 推出了一系列跨界车

12-31 0 阅读